- 治療について - 永久歯のダイレクトボンディング
永久歯のダイレクトボンディング
虫歯の治療方法の一つに、悪い所を取り除き「詰める」治療がありますが、健康保険での最低限の治療には限界があります。使える材料や時間に制約があるためです。大切なお子様の永久歯の健康を長く守るために、見た目が自然で、強くて長持ちしやすい「ダイレクトボンディング」という質の高い治療を選びませんか?将来の治療回数を減らすことにも繋がります。
保険診療では、最低限の治療はできますが、以下の点で限界があります。
- 使える材料の種類が限られている: 色調のバリエーションが少なく、単一的な仕上がりになりがちです。
- 治療にかけられる時間も短め: 精密な工程を省略せざるを得ず、詰め物の精度や耐久性に影響します。
- 外れやすかったり、見た目が合わないことも…: 上記の理由から、再治療のリスクが高まります。
大切なお子さんの永久歯だからこそ、長く安心できる治療を選びませんか?
当院では、マイクロスコープを用いて治療を行います。
マイクロスコープについてはこちら↓
https://tdland.jp/treatment/setsubi/microscope/
ダイレクトボンディング治療の流れ

虫歯を取り除いた後、ラバーダムを装着し唾液が来るのを防ぎます。

歯科用の接着剤を塗布します。(ラバーダムをしているのでお子さんも安心です)

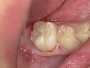
自費専用のコンポジットレジンを充填します。その際にもともとの歯の形、溝、色調を再現します。(ここが1番時間がかかるところですし、こだわりポイントです)

治療痕が目立たない、自然で長持ちする治療です。
- 見た目が自然な材料(白くてきれい):複数の色を使い分け、天然歯のような透明感を再現できます。
- 強くて長持ちしやすい素材を使用:耐久性が高く、長持ちしやすい材料を使用します。
- お子さんのペースに合わせて、じっくり丁寧に治療:接着の精度を高め、外れにくい、二次虫歯になりにくい治療を目指します。
- 将来の治療回数を大きく減らします!:長持ちする精密な治療は、歯の寿命を延ばすことに繋がります。
「今」だけでなく、「これからの歯の健康」を大切に考えた治療です。
保険外の治療です。 治療の部位、範囲により費用が異なりますので、まずは歯科医師にお気軽にご相談ください。
